
Gesichtsischämie und vaskuläre Komplikationen nach Filler-Injektion
Autor:innen:
Dr. med. Lea Jonczy-Biehal1
Dr. med. Roland Büchel1
Prof. Dr. med. Christoph Thalhammer2
1 Gefässe im Zentrum, Bülach
2 Chefarzt Angiologie, KSA Kantonsspital Aarau
E-Mail: lea.jonczy@hin.ch
Vielen Dank für Ihr Interesse!
Einige Inhalte sind aufgrund rechtlicher Bestimmungen nur für registrierte Nutzer bzw. medizinisches Fachpersonal zugänglich.
Sie sind bereits registriert?
Loggen Sie sich mit Ihrem Universimed-Benutzerkonto ein:
Sie sind noch nicht registriert?
Registrieren Sie sich jetzt kostenlos auf universimed.com und erhalten Sie Zugang zu allen Artikeln, bewerten Sie Inhalte und speichern Sie interessante Beiträge in Ihrem persönlichen Bereich
zum späteren Lesen. Ihre Registrierung ist für alle Unversimed-Portale gültig. (inkl. allgemeineplus.at & med-Diplom.at)
Vaskuläre Komplikationen nach ästhetischen Filler-Injektionen stellen eine ernsthafte, aber seltene Herausforderung dar. Wir berichten über den Fall einer Patientin mit Gesichtsischämie nach Hyaluronsäure-Injektion und zeigen, wie eine gezielte ultraschallgestützte Therapie die Durchblutung wiederherstellen konnte.
Keypoints
-
Vaskuläre Komplikationen nach Filler-Injektionen erfordern sofortiges Handeln.
-
Ultraschallgestützte Hyaluronidase-Injektionen sind der Goldstandard.
-
Duplexsonografie ist entscheidend zur Diagnostik und Verlaufskontrolle.
-
Interdisziplinäre Betreuung verbessert das Behandlungsergebnis.
Anamnese und Befunde
Eine 26-jährige Patientin stellte sich mit unklaren, progredienten Hautveränderungen vor, die nach einer ästhetischen Behandlung mit Hyaluronsäure(HA)-Injektion in einer Klinik für plastische und ästhetische Chirurgie in Italien auftraten. Ende Dezember 2024 wurde ein hyaluronbasierter Filler in den Nasenrücken, die Nasenflanken, die Nasolabialfalte und die Columella injiziert. Bereits während der Injektion im Bereich der oberen Anteile der Nasolabialfalte bzw. der Apertura piriformis verspürte die Patientin einen Schmerz. Weniger als 24 Stunden nach der Behandlung bemerkte sie eine sich verbreitende Blässe der Haut, woraufhin sie die behandelnde Ärztin kontaktierte. Diese empfahl eine Behandlung mit Aspirin sowie ein abwartendes Vorgehen.
In den folgenden Tagen entwickelte sich die Blässe zu netzartigen Verfärbungen mit Blasen und Pustelbildung. Zurück in der Schweiz suchte die Patientin eine niedergelassene Dermatologin auf, die eine Hyaluronidase-Behandlung empfahl. Daraufhin erfolgte eine Injektion unklarer Mengen des Enzyms. Laut Anamnese wurde diese nur an der Stelle verabreicht, an der der initiale Schmerz auftrat. Zudem wurde eine antibiotische Behandlung mit Doxycyclin sowie eine Steroid-stosstherapie mit Spiricort 50mg begonnen.
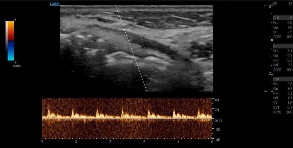
Da sich keine Besserung zeigte, die Haut zunehmend bläulich verfärbt erschien und im Bereich der Wange eine Krustenbildung auftrat, stellte sich die Patientin in der Notaufnahme eines grossen Spitals vor. Dort wurden plastische Chirurgie und Dermatologie involviert. Eine Empfehlung zur Beendigung der Antibiotika- und Steroidtherapie wurde ausgesprochen. Die Patientin nahm aus der Besprechung mit, dass ein Gefässultraschall diskutiert wurde. In der Folge suchte sie gezielt nach einem Gefässspezialisten mit Erfahrung in der Ultraschalldiagnostik der Gesichtsgefässe und stellte sich in unserer Praxis vor (Abb. 1).
Bei der Erstvorstellung in unserer Praxis zeigten sich eine ausgeprägte Livedo racemosa der Nase sowie ischämische Verfärbungen der linken Wange mit sichtbarer Epidermiolyse. Eine Duplexsonografie ergab eine Hypervaskularisation der Nasenwurzel, ein Hyaluron-Depot sowie Zeichen einer verminderten Mikrovaskularisation («quiet zone») im Bereich der A. angularis.
Differenzialdiagnostische Überlegungen
-
Direkte vaskuläre Okklusion durch intraarterielle HA-Injektion
-
Choke-Spasmus der Anastomosen
-
Sekundäre vaskuläre Kompromittierung durch Kompression oder Entzündung
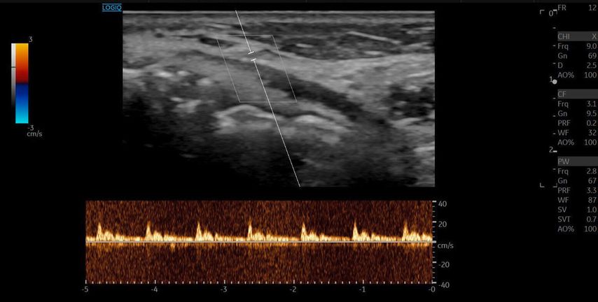
Die A. facialis imponierte beim Austritt im Bereich des Musculus masseter (oberhalb der Kieferlinie) vasospastisch mit einem maximalen Durchmesser von 1mm. Die abgeleitete systolische Spitzengeschwindigkeit betrug trotz der bestehenden Ischämie 20cm/s, ohne enddiastolische Komponente, was auf eine weitere periphere Vasokonstriktion hindeutete (Abb. 2 und 3).
Hintergrund
Die A. facialis ist die Hauptarterie zur Blutversorgung des Gesichts und entspringt aus der A. carotis externa. Sie hat einen stark geschlängelten Verlauf und bildet zahlreiche Anastomosen mit benachbarten Arterien. Ihr Durchmesser variiert entlang ihres Verlaufs: Am Unterkieferrand liegt der mittlere Durchmesser bei 2,4mm, in der Wangenregion bei 1,9mm und im Bereich der Nasolabialfalte bei etwa 1,5mm. Die A. angularis, der Endast der A. facialis, weist einen Durchmesser von ca. 1,2mm auf. Die Flussgeschwindigkeit variiert je nach Region, beträgt aber durchschnittlich zwischen 20–50cm/s.1
Sonografisch lässt sich die A. facialis am besten an der Vorderseite des Musculus masseter detektieren. Sie zeigt eine deutliche Pulsation, und ihre Hauptäste – A. labialis inferior, A. labialis superior und A. angularis – sind aufgrund ihrer oberflächlichen Lage gut darstellbar.
Diagnose
Gesichtsischämie durch vaskuläre Okklusion und «Choke-Spasmus» nach Hyaluronsäure-Injektion mit sekundärer Minderdurchblutung.
Weitere Abklärungsschritte und Verlauf
Es erfolgte eine ultraschallgesteuerte Injektion von 1500IE Hyaluronidase entlang der A. dorsalis nasi, A. nasi lateralis, A. angularis und A. facialis. Nach der Intervention zeigte sich eine Verbesserung der Mikrozirkulation, was sich klinisch durch eine rötlichere Hautfarbe bemerkbar machte.
Die Patientin wurde mit folgenden Empfehlungen nach Hause entlassen:
-
Hoch dosierte Einnahme von Aspirin (500mg für 14 Tage)
-
Prophylaktische Dosierung von niedermolekularem Heparin (Fragmin 5000IE für 7 Tage)
-
Anwendung einer nitroglycerinhaltigen Salbe (mind. 1x täglich)
-
Fucidin-Creme im Bereich der Kruste Wange rechts
-
Strikte Meidung von Kälteexposition im Gesicht
Empfohlene Behandlungsstrategien
-
Ultraschallgesteuerte Hyaluronidase-Injektionen sind der Goldstandard zur Behandlung vaskulärer Okklusionen/Choke-Spasmen im Bereich des Gesichtes.2,3
-
Hyperbare Sauerstofftherapie kann als adjuvante Therapie zur Verbesserung der Mikrozirkulation erwogen werden.4
-
Hoch dosierte, gepulste HyaluronidaseInjektionen zur schnellen Filler-Degradation5
-
Frühzeitige Antikoagulation und Vasodilatation zur Verbesserung der Durchblutung6
Kurzfristige Verlaufskontrolle
Knapp 72 Stunden nach der Behandlung zeigten sich die ischämischen Verfärbungen rückläufig. Die Patientin berichtete eine signifikante Verbesserung der Hautfarbe und Sensibilität (Abb. 4).
Abb. 4: Zustand der Patientin 72 Stunden nach der ultraschallgesteuerten Hyaluronidase-Injektion
Die Duplexsonografie ergab folgende Befunde (Abb. 5 und Abb. 6):
-
Der Durchmesser der A. angularis und A. facialis hatte sich nahezu verdoppelt.
-
Die systolische Spitzengeschwindigkeit (PSV) stieg von 20cm/s auf über 100cm/s.
-
Die enddiastolische Geschwindigkeit (EDV) betrug nun 20cm/s, was auf eine periphere Vasodilatation und eine Wiederherstellung der Makrozirkulation hindeutete (Abb. 7).
Kommentar
Die Behandlung vaskulärer Komplikationen nach Hyaluronsäure-Injektionen erfordert ein schnelles und gezieltes Vorgehen. Ultraschallgestützte Hyaluronidase-Injektionen stellen ein effektives Mittel zur Auflösung von Hyaluronsäure-Depots dar, verbessern die Mikrozirkulation und können – wie in unserem Fall – auch noch einige Tage nach der initialen ästhetischen Behandlung einen Vasospasmus reversieren. In der Literatur werden unterstützende Therapien mit Acetylsalicylsäure, niedermolekularem Heparin und topischer Nitroglycerinsalbe zur weiteren Vasodilatation wiederholt empfohlen. Eine S1-Leitlinie zum Management von Komplikationen bei ästhetischen Filler-Injektionen befindet sich derzeit in Bearbeitung und soll voraussichtlich bis zum 30. Juni 2026 fertiggestellt werden. Eine schützende Hautpflege sowie die Vermeidung von Kälteexposition sind essenziell. Bei Anzeichen einer Infektion oder fortgeschrittener Gewebenekrose ist eine interdisziplinäre Betreuung durch Dermatologie, Angiologie und plastische Chirurgie erforderlich.
Abb. 7: Kontrolle nach zwei Wochen: leichte postischämische Hyperpigmentierung im Bereich der ehemaligen Epidermolyse
Fazit
Vaskuläre Komplikationen nach HA-Injektionen erfordern schnelles Handeln, vorzugsweise mit ultraschallgesteuerter Hyaluronidase-Therapie. Eine Duplexsonografie liefert wertvolle Informationen über die Durchblutung und die Lokalisierung der Filler-Depots. Eine interdisziplinäre Betreuung und individuelle Therapieplanung sind entscheidend für ein gutes Behandlungsergebnis. Patientensicherheit, Risikominimierung und ein strukturiertes Komplikationsmanagement müssen in der ästhetischen Medizin oberste Priorität haben.
Literatur:
1 Lee HJ et al.: The facial artery: a comprehensive anatomical review. Clin Anat 2018; 31(1): 99-108 2 Schelke LW et al.: Ultrasound-guided targeted vs regional flooding: a comparative study for improving the clinical outcome in soft tissue filler vascular adverse event management. Aesthet Surg J 2023; 43(1): 86-96 3 King M et al.: This month’s guideline: the use of hyaluronidase in aesthetic practice (v2.4). J Clin Aesthet Dermatol 2018; 11(6): E61-E68 4 Madero J et al.: Role of hyperbaric oxygen in filler-induced vascular occlusion. Aesthetic Plast Surg 2024; 48(14): 2713-21 5 Fu Q et al.: Percutaneous intra-arterial hyaluronidase injection for hyaluronic acid filler embolism threatening skin barrier integrity: implementation of a stepwise treatment protocol. Aesth Plast Surg 2024; 48(4): 747-51 6 Signorini M et al.: Global aesthetics consensus: avoidance and management of complications from hyaluronic acid fillers-evidence- and opinion-based review and consensus recommendations. Plast Reconstr Surg 2016; 137(6): 961e-971e
Das könnte Sie auch interessieren:
Funktionell-ästhetische Nagelchirurgie
Die Entwicklung der Nagelchirurgie ist im Vergleich zu anderen chirurgischen Disziplinen noch wenig weit fortgeschritten. Dennoch stehen verschiedene Methoden sowohl zur Diagnosestellung ...
Jugendlich statt „schön“ um jeden Preis
Die ästhetische Medizin hat sich aus den Möglichkeiten der Medizin und den Wünschen der Menschen entwickelt. Die angebotenen Behandlungen haben eine Sonderstellung, denn viele davon sind ...
Patientenerlebnis als strategischer Erfolgsfaktor
Ästhetische Praxen unterscheiden sich nicht nur durch Behandlungen, sondern auch durch das Erlebnis. Wer digitale Präsenz, Ambiente, Konsultation und Nachsorge konsequent gestaltet, ...